Your questions about bunions and treatment options answered

Mr Kumar Kunasingam, Consultant Orthopaedic Foot and Ankle Surgeon at The Lister Hospital, answers your frequently asked bunion questions.

What are bunions?

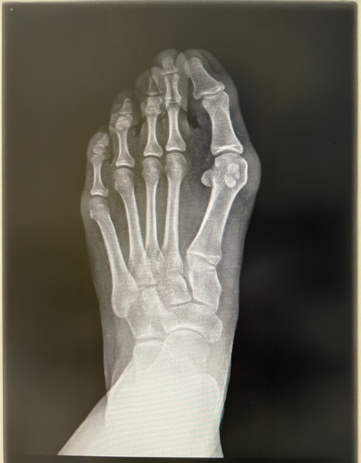
Bunions are swellings of the big toe joint. They’re often painful because of footwear rubbing, but there is a risk of deeper pain developing over time if the bunions aren't treated. Bunions can also cause pain when they rub onto the second toe and can, in some cases, even cause the second toe to dislocate.

Do bunions just go away?

Bunions do not go away by themselves. If you have a particularly flat foot the shape can sometimes be improved by an orthotic or inner sole which can lift up your arch. There are physiotherapy exercises that could help strengthen some of the muscles in your foot which may ease the pain and pressure, though this won't change the overall structure of your foot (alignment of the bones) or make bunions go away.

All bunion cases are best assessed by an orthopaedic consultant who specialises in foot and ankle conditions. Their treatment plan is often formed by using images such as X-rays or sometimes an MRI scan. At HCA UK we can offer a variety of treatments, including conservative options which don’t involve surgery, depending on the pain level and how your foot looks. Having an expert discuss your options with you can be very helpful.

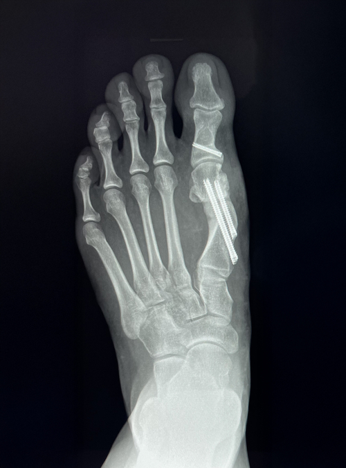
x-ray 1.jpg x-ray 2.jpg

What is the best treatment for bunions?

Bunions that cause pain, either around the bunion area or because they’re pushing the second toe over or under the big toe, can usually be treated with non-surgical options, such as broader or more stretchy footwear.

The only way to definitively get rid of bunions is through surgical treatment. At The Lister Hospital, London, we're proud to offer keyhole bunion surgery (also known as minimally invasive bunion surgery) which has a far quicker recovery time for patients than that of open surgery.

Can I get rid of bunions without surgery?

A lot of bunions will not change without surgery. There are lots of pads, stretching devices and exercises advertised online, so if you do feel they would help you then it's worth looking at those options before considering surgery. However, with exercise, whilst it may relieve the pressure, it's impossible to change the architecture (shape) of the foot through exercise alone, and therefore surgery is the only definitive option.

What does bunion surgery entail?

I offer my patients keyhole bunion reconstruction surgery or minimally invasive bunion surgery which will correct the shape of the foot. The procedure usually takes around 30 minutes and will involve the use of general and local anaesthetic. If patients can't tolerate general anaesthetic then this needn't be a barrier as consideration can be made for spinal anaesthetic or a block of part of the leg.

At HCA Healthcare UK we use state-of-the-art theatres, and surgery is performed with an X-ray machine in sterile conditions, which means live imaging can be taken during surgery.

In my keyhole bunion surgery, I make small incisions in the skin, break the bones either side of the big toe joint, which is called an osteotomy, and then push these into a better position before fixing them with screws. These screws generally stay in and do not need to be removed, though they can be if necessary.

The shape of the bone is also further modified using a shaving technique through the same tiny incisions. This keyhole approach to bunion surgery has the benefit of a quicker recovery, which means you can walk immediately after surgery as opposed to around six weeks of recovery time with other forms of surgery. 

Is keyhole bunion surgery less painful than open surgery?

Keyhole surgery patients who have had previous open surgery with ongoing or recurrence of bunions have reported the keyhole experience is more pleasant and much less painful. Patients have enjoyed a much quicker return to their previous level of activity. Bones still take six weeks to heal and three months to consolidate or become more solid, but the return to activity is usually quicker. 

Patients often don’t need any analgesia (pain relief) after surgery, though some patients may benefit from a day or two of pain relief depending on the initial shape of the foot and the severity of the bunion. 

 

Read more about Mr Kumar Kunasingam

More about our Orthopaedic services

Related articles